ホワイトニング
- ホーム
- ホワイトニング
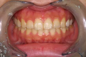
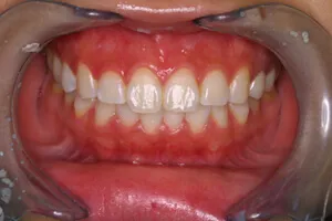
口元を健康的に
白く明るくしたい

そんな希望を叶えてくれるのが「ホワイトニング」です。
「クリーニング」は、茶渋やステインなど外来性の沈着物を取り除き、自分本来の歯の色を取り戻すこと。
「ホワイトニング」は、専用の薬剤を使い、自分本来の歯の色より明るく美しい歯の色を手にすることをいいます。
「ホワイトニング」という術式がなかったころは、口元をきれいに白くしたいというご希望には、虫歯でも何でもない歯を削って人工の白いかぶせ物を装着して口元を白く見せるしか方法がありませんでした。
虫歯でも何でもない歯を削るのは、歯を一生涯守りたいと思っている私にはとてもつらく、ご希望をお断りすることもありました。
ただ、今は違います。上手に薬剤を使用すれば、誰でも簡単に、安全に、そしてスピーデイに口元を白く美しくすることができるのです。
ホームホワイトニング

患者様自身が、当院作成のカスタムトレー(マウスピース)にホワイトニング剤を入れ、家で5~6時間装着する方法です。
メリット
- 患者様自身のペースで、ご自宅でホワイトニングを行うことができる
- 色が後戻りしにくく、長持ちする
- ホワイトニングの際、知覚過敏症状が出にくい
デメリット
- 歯が白くなるまで、平均4週間前後と時間がかかる
- ご自分でやる必要があるので、手間がかかる
オフィスホワイトニング

歯科医院で高濃度のホワイトニング剤を用い、そこに光源をあてて薬剤の効果を高めるため、短時間で歯を白くする方法です。
当院で使用中の光源はアメリカ、ブライトスマイル社のZoom!2
Advanced
Power機を使用しています。
同機は全世界で60,000システム以上が使用され、190万人以上が体験し、ホワイトニング先進国のアメリカでは主流のホワイトニングシステムです。
メリット
- 短時間で歯を確実に白くすることができる。
デメリット
- 色が後戻りしやすい
- ホームホワイトニングよりも知覚過敏症状が強く出る傾向がある
トータルホワイトニング
歯科医院で高濃度のホワイトニング剤を用い、そこに光源をあてて薬剤の効果を高めるため、短時間で歯を白くする方法です。
当院で使用中の光源はアメリカ、ブライトスマイル社のZoom!2
Advanced
Power機を使用しています。
同機は全世界で60,000システム以上が使用され、190万人以上が体験し、ホワイトニング先進国のアメリカでは主流のホワイトニングシステムです。
メリット
- 効果が安全で、確実、短期間である
- 後戻りまでの時間が長く、効果が長続きする
- 知覚過敏症状がオフィスホワイトニング単独より楽である
デメリット
- 知覚過敏症状が皆無ではない


1 日目
術前審査
治療のコンサルテーション
ホームホワイトニング用のカスタムトレー製作用の型取り
お口のクリーニング(PMTC)
2 日目
説明と施術
Zoom2! Advanced Powerによるオフィスホワイトニング、ホワイトニング後のクリーニング、フッ素ケア、今日からご家庭でやっていただくホームホワイトニングの説明とカスタムトレー、ホームホワイトニング剤を渡す。
3 日目
確認
約2週間後にご来院いただき、再評価、白さの確認をする。
よくある質問
ホワイトニングは痛いですか?しみますか?
施術中または施術後に、しみる・知覚過敏のような症状が出ることがあります。感じ方には個人差があり、歯の状態や薬剤の濃度などによっても異なります。症状が強い場合は、無理をせずご相談ください。
どれくらい白くなりますか?
白さの変化には個人差があります。歯の元の色、着色の原因、生活習慣などにより、変化の出方や到達する白さが異なります。検査・カウンセリングのうえで、目安をお伝えします。
ホームホワイトニングとオフィスホワイトニングは、どちらが自分に合いますか?
目的や生活スタイルによって向き・不向きがあります。通院回数を抑えたい方、じっくり進めたい方などで選び方が変わります。迷われる場合は、ご希望を伺ったうえで適した方法をご案内します。
1回で終わりますか?回数や期間の目安はありますか?
1回で変化を感じることもありますが、希望する白さや歯の状態によっては複数回の施術や、一定期間の継続が必要になる場合があります。回数・期間の目安は、お口の状態を確認したうえでご案内します。
詰め物やかぶせ物(差し歯)も白くなりますか?
一般的に、ホワイトニングで白くなるのは天然の歯で、詰め物・かぶせ物などの人工物の色は変化しません。色の差が気になる場合は、詰め物・かぶせ物の調整や交換などの選択肢をご案内することがあります。
ホワイトニング
施術後の注意点
ホワイトニング後は、一時的に歯の表面がデリケートになり、ざらつきを感じることがありますが、多くは24〜48時間ほどで落ち着いていきます。
また、知覚過敏が起こることがあり、特に高濃度の薬剤を使用した場合に発生しやすいです。
さらに、ホワイトニングの効果が希望通りの白さにならない場合や、色にムラが出ることがあります。
ホワイトニング後には色戻りが発生しやすく、一般的に3~6ヶ月程度で見られます。
白さを維持するために、定期的なメンテナンスが必要となることがあります。